Hypomineralisation Treatment
Specialist Paediatric Dental
Care in London
At 76 Harley Street, our experienced specialist paediatric dental team offers expert diagnosis and treatment for hypomineralisation, a developmental condition that can significantly affect the strength and appearance of children’s teeth. With a warm, supportive approach and access to the latest treatments, we are committed to helping your child feel confident and comfortable, both in their smile and their dental care.
âś” Leading specialists & consultants in paediatric dental care

Hypomineralisation | Dentist, London

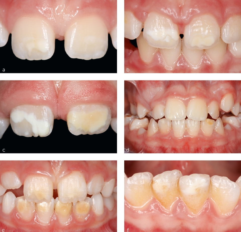
Hypomineralisation is a developmental condition that affects the enamel – the hard outer layer of the tooth. It occurs when the enamel does not form properly, resulting in teeth that may appear:
- Creamy white, yellow, or brown
- Rough or chalky in texture
- Soft or crumbly at the edges
- More vulnerable to decay or breakdown
In children, hypomineralisation most commonly affects the first permanent molars and the front adult teeth (incisors). This specific pattern is known as Molar-Incisor Hypomineralisation (MIH).
In some cases, baby teeth can also be affected—a condition known as Deciduous Molar Hypomineralisation (DMH)—which can be an early indicator of MIH developing later.
Hypomineralisation
Ongoing Monitoring & Support
Hypomineralisation is a long-term condition that requires regular monitoring. At 76 Harley Street, we build long-term relationships with families so that your child’s teeth can be reviewed every 6–12 months, depending on need.
This allows us to:
- Check for progression of enamel breakdown
- Monitor the success of restorations or crowns
- Adapt the care plan as your child grows
- Coordinate with orthodontists or other specialists if needed
Our team will keep you fully informed at every stage, with honest, practical advice and consistent communication.
How We Treat Hypomineralisation at 76 Harley Street
Our approach to hypomineralisation is carefully tailored to your child’s age, the severity of enamel damage, and how many teeth are affected. Treatment options may include:
Preventive Care
- Fluoride applications to strengthen enamel
- Desensitising agents to reduce discomfort
- Custom-made mouthguards if the teeth are sensitive to brushing or grinding
- Oral hygiene coaching and dietary advice to protect vulnerable enamel
We create personalised prevention plans to help slow enamel breakdown and build habits that protect your child’s teeth long-term.
Restorative Treatments
- Fissure sealants to protect early signs of weakness in molars
- White fillings (composite) to repair small areas of damage
- Stainless steel or zirconia crowns to cover and protect severely affected molars
- Resin infiltration for improving the appearance of white/brown marks on front teeth
We use paediatric specific materials and techniques to ensure that restorations are durable, aesthetic, and minimally invasive. Wherever possible, we avoid removing healthy tooth tissue.
Tooth Extraction (When Necessary)
In some cases—particularly if the molar is severely damaged or repeatedly infected – we may recommend removing the tooth. Our specialist team will carefully assess the best time to do this, often coordinating with orthodontists to ensure that future tooth movement and development are taken into account.
If a tooth does need to be removed, we offer both inhalation sedation and hospital-based general anaesthetic (at Cromwell Hospital) to ensure your child’s safety and comfort.
How Do I Know If My Child Has Hypomineralisation?
Parents often notice signs of hypomineralisation around the age of 6 to 8 years, when the first adult molars and incisors begin to erupt. You may see:
- Patches of unusual colour on the new adult teeth
- Teeth that appear chipped or worn soon after coming through
- Complaints of tooth sensitivity, especially to hot, cold, or sweet foods
- Difficulty brushing due to tenderness
- Early signs of decay, even with good hygiene
It’s important to have any concerns assessed by a paediatric dental specialist. At 76 Harley Street, we use gentle examination techniques and dental imaging to diagnose hypomineralisation accurately and create a personalised care plan.
What Causes Hypomineralisation?
The exact cause of hypomineralisation is not always clear. It is believed to occur during the first few years of life, as the adult teeth are forming beneath the gums. Potential contributing factors may include:
- Childhood illness or high fevers
- Premature birth or low birth weight
- Environmental or genetic influences
- Nutritional deficiencies
- Exposure to certain medications or toxins during early development
It is not caused by poor brushing or diet, and it is not the fault of the child or parent. However, the condition does mean that the affected teeth are weaker and more vulnerable than normal enamel, so they require extra care and attention.
What is Hypomineralisation?
Hypomineralisation is a developmental defect of tooth enamel that occurs when the enamel doesn’t form properly. It most commonly affects the first permanent molars and incisors, but can occasionally involve other teeth. This condition results in teeth that appear chalky, discoloured (white, yellow, or brown patches), and are more prone to sensitivity, wear, and decay.
The exact cause isn’t always known, but hypomineralisation can be linked to childhood illnesses, high fevers, premature birth, or certain medications taken during early development. It’s not caused by poor brushing or diet, although affected teeth are often more difficult to keep clean and healthy.