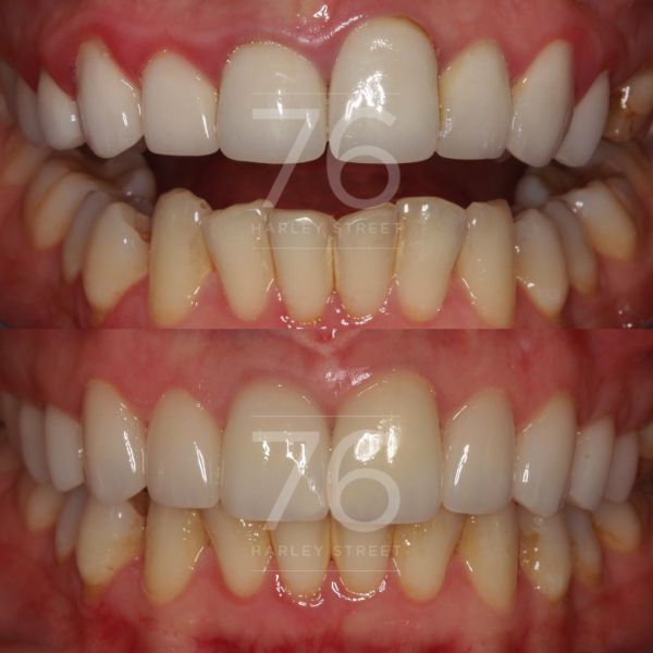
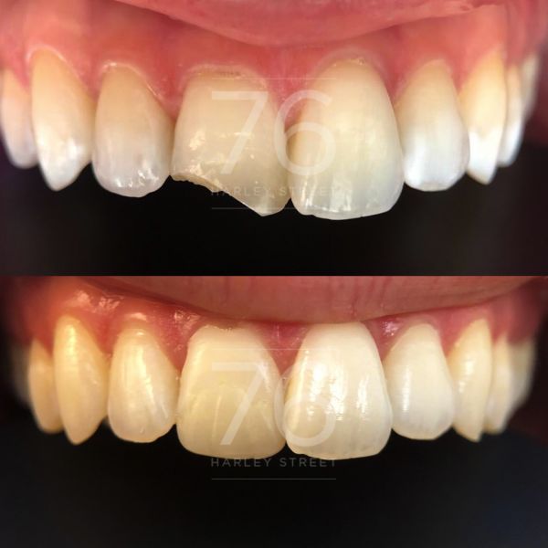
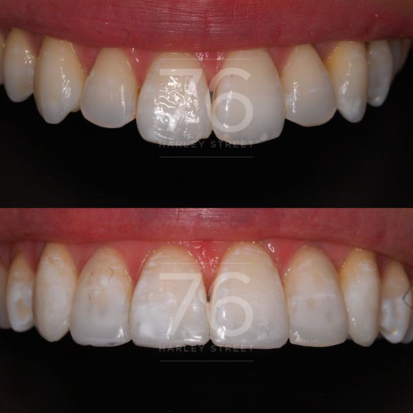
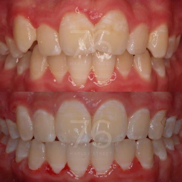
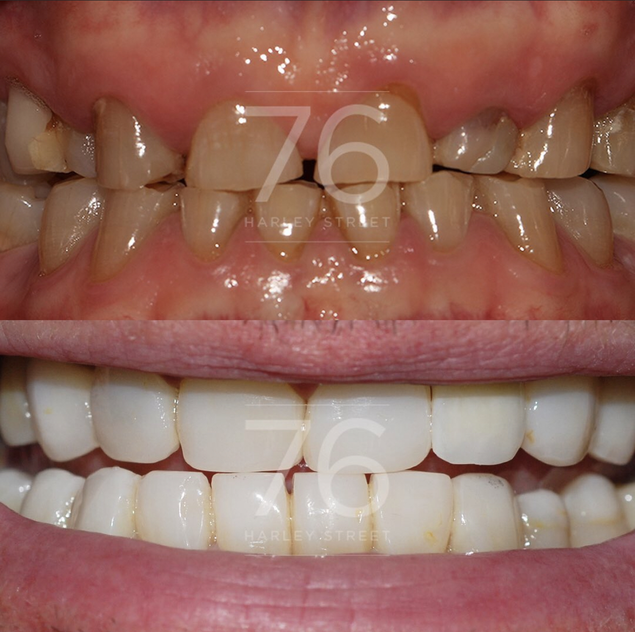
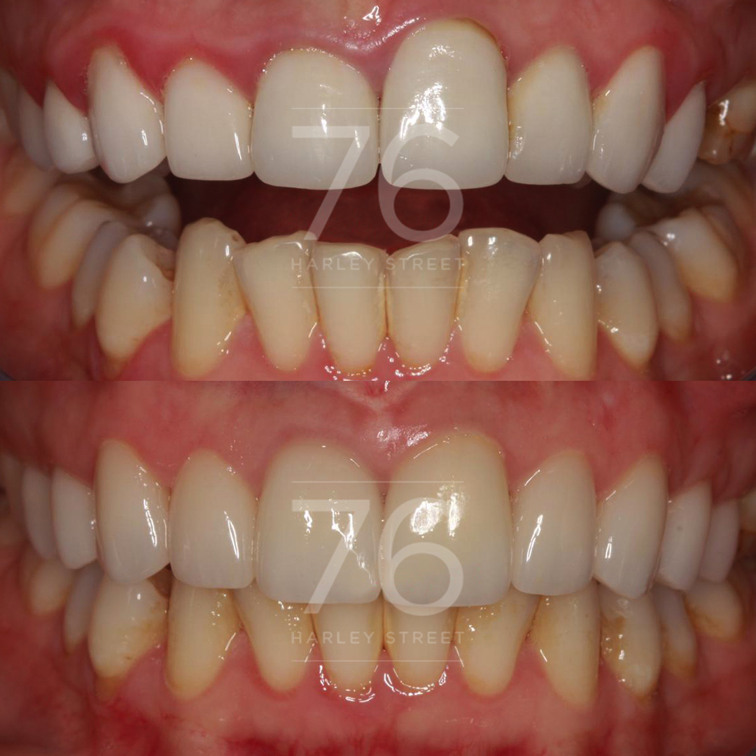
Has lockdown had you dreaming of a new smile?
Whether you’re looking for a dental practice for routine care or specialist treatment, our team of specialist clinicians bring a wealth of experience, delivering dental excellence which will leave you smiling at the end of your journey.
Arrange an initial consultation today, your confident smile starts right here.
Transforming Smiles • Transforming Lives
Specialist dentistry under one roof
No need for outside referral; 76 Harley Street hosts a range of unrivalled services, centralising your care in a relaxed and friendly environment, meeting all your dental needs.



















