TEETH WHITENING
HARLEY STREET
Looking to brighten and refresh your smile?
At 76 Harley Street, our expert team offers professional teeth whitening treatments that are safe, effective, and tailored to each patient. Located in the heart of London’s prestigious medical district, 76 Harley Street is proud to deliver results-driven cosmetic dental care, including advanced teeth whitening solutions designed to enhance your natural smile with minimal effort and maximum impact.
Whether you’re preparing for a wedding, an important business meeting, or simply want to boost your confidence day-to-day, professional tooth whitening is one of the quickest and most affordable ways to elevate your appearance. Patients often tell us they feel years younger after treatment, having successfully removed stains built up from coffee, red wine, smoking, and the natural ageing process.
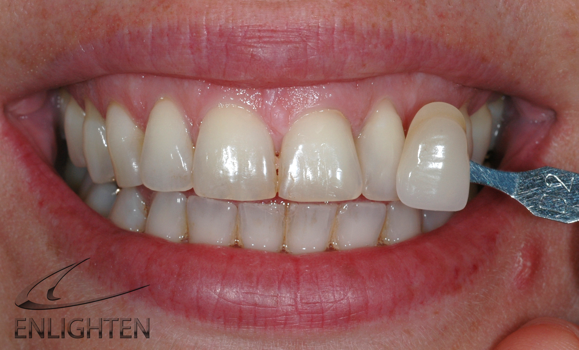
Enlighten Teeth Whitening
We’re proud to use the Enlighten Whitening system – a globally recognised teeth whitening treatment known for its predictable and long-lasting results. What sets Enlighten apart is its ability to lighten teeth up to 16 shades while maintaining low sensitivity. It works by increasing the permeability of the enamel to oxygen, effectively breaking down stubborn stain molecules from within the tooth structure.
Unlike over-the-counter whitening kits, teeth whitening at 76 Harley Street is delivered under the guidance of experienced clinicians, ensuring the safest and most comfortable experience possible. Your treatment journey begins with a comprehensive consultation to assess your dental health and suitability for whitening. From there, we’ll create a custom-fitted whitening tray and provide you with everything you need for at-home application, followed by a final in-practice session for optimal results.

Whitening FAQs
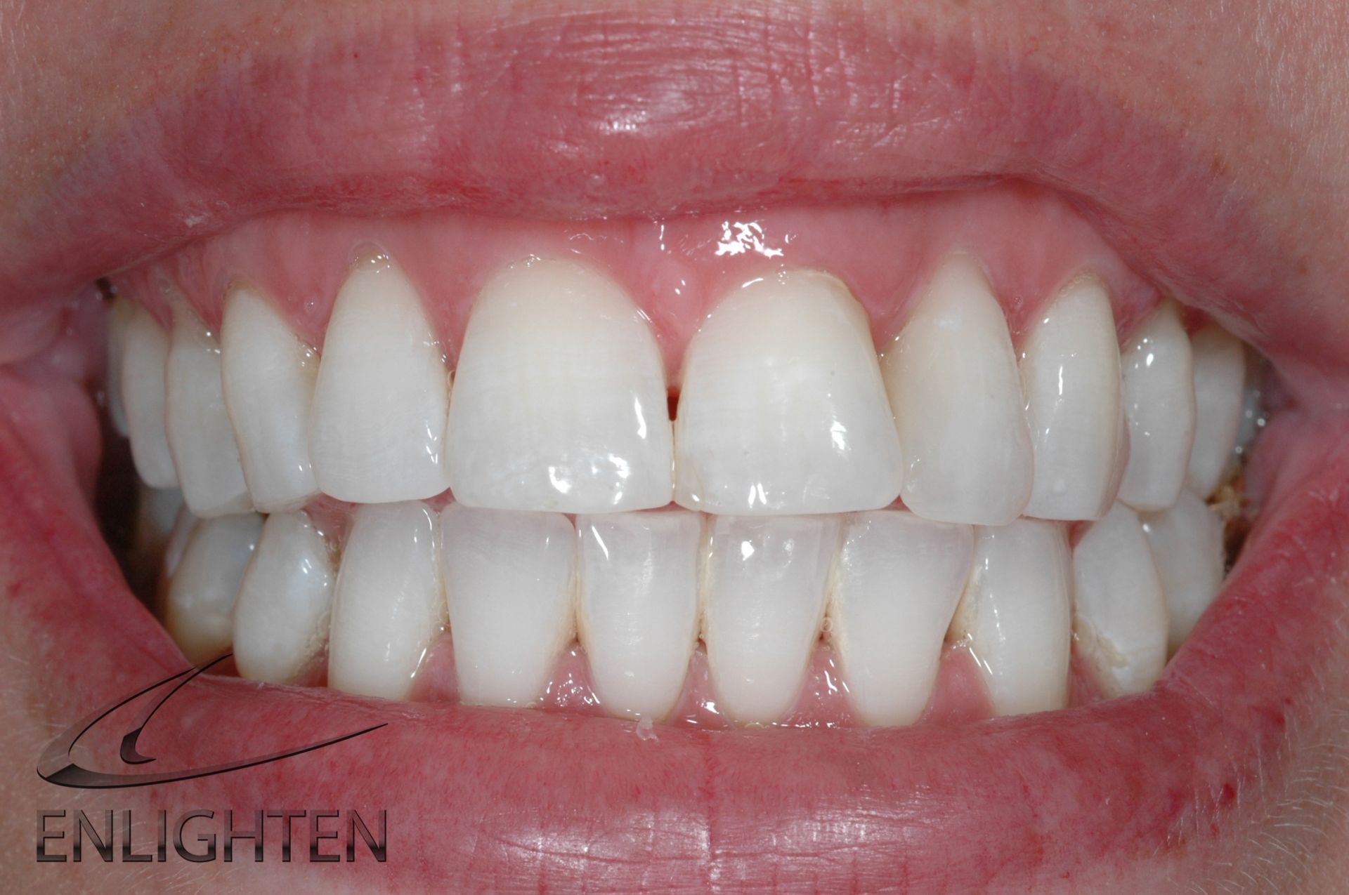
How white will my teeth get?
Enlighten Whitening can whiten up to 16 shades, results vary but if used correctly all teeth will whiten dramatically.
Will they look too white?
No, natural teeth rarely look too white. Sometimes very white crowns can look wrong because they are made of porcelain.
Will my crowns, veneers or restorations (fillings) change colour?
No, sometimes you may need to change some of these after whitening.
Is there pain or discomfort?
You may get some sensitivity, however your dentist will give you easy to use desensitising swabs to take home, which will work immediately. You will also receive a tube of Tooth Serum toothpaste to brush with, while you wait for your trays, this also helps with sensitivity.
How long does it take?
Two weeks after your dentist delivers your Enlighten Whitening trays. These are thin and comfortable and must be worn in bed for 14 nights, then on the 15th day you need to see your dentist for the second treatment which takes only 40 minutes.
How long does it last?
Results can last indefinitely with some very simple maintenance, wearing the trays for 1 night every other month. Continuing to brush with Evo-White will also prolong results.
Is it safe?
Completely, the materials used in Enlighten Whitening have been used in dentistry for over 100 years.



