Gum Disease Treatment
Harley Street
SPECIALIST PERIODONTAL CARE IN LONDON
Our specialist periodontists, provide expert, patient-focused care for all stages of gum disease.
Whether you’re dealing with bleeding gums, gum recession, or advanced periodontal concerns, we offer bespoke treatment plans to restore and protect your oral health.
✓ Successfully carried out over a thousand surgical & non-surgical gum treatments – Specialists, Dr Halai & Dr Sheihfung
-
Specialist Treatment & Prevention of Gum Disease
-
Gum Disease
-
Periodontitis
-
Treatment Options
-
Why 76 for Gum Therapy?
Specialist Treatment & Prevention of Gum Disease
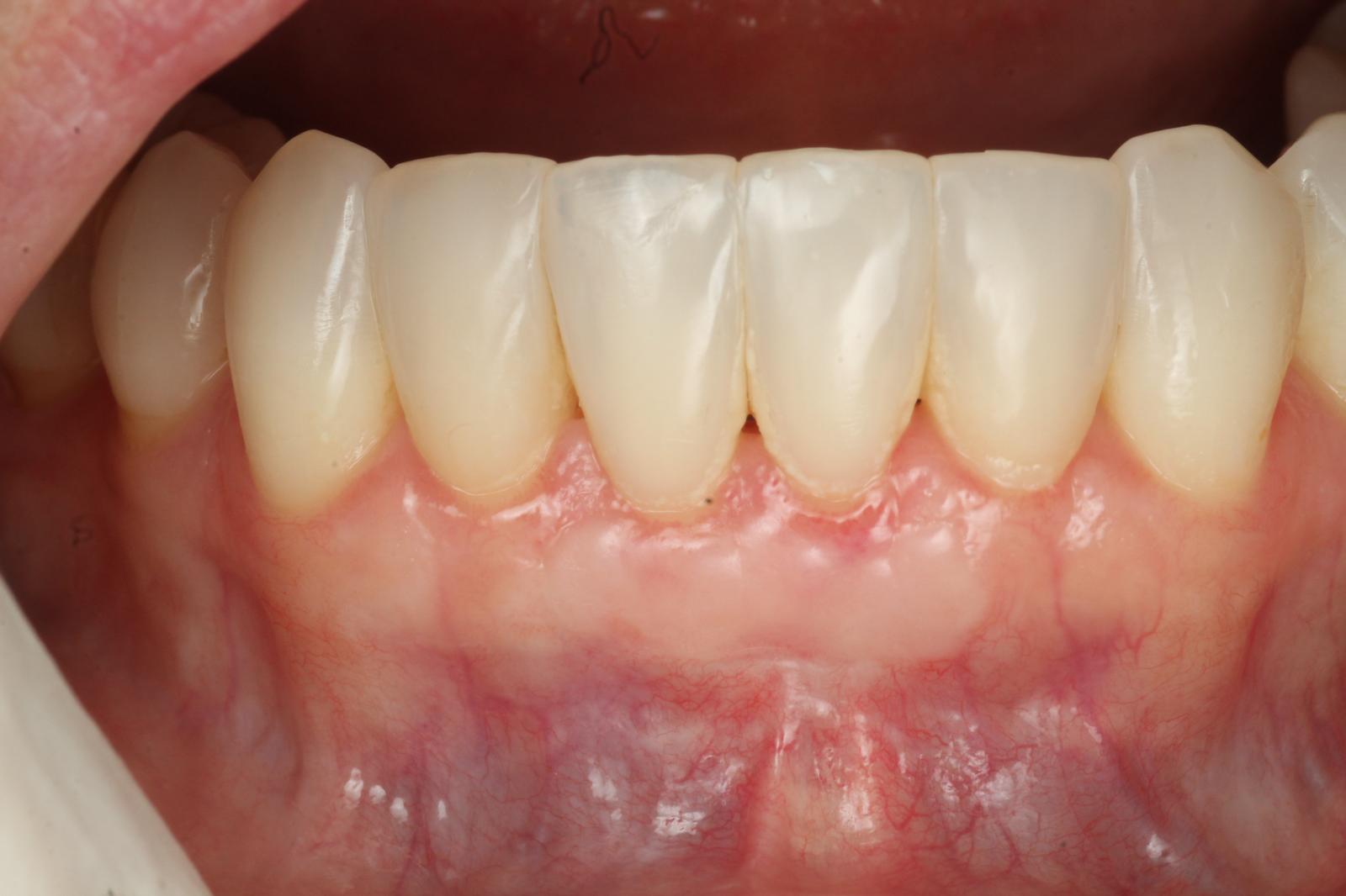
Here at 76 Harley Street, we are proud to offer gum disease treatment and prevention therapy where we can help treat, manage and prevent patients suffering from gum disease. Dr Hiten Halai and Dr Tay Shiehfung, our specialist periodontists, provide gold standard care in common cases of bleeding gums, gum recession, loose teeth, bad breath and bone loss.
Periodontology (Periodontics) is the specific aspect of dentistry that studies the supporting structures of the teeth and the study of the diseases and conditions that affect these structures e.g. gingivitis and gum disease.
There are many forms of gum disease but these often result from bacterial build-up on the teeth and gums. Over time and if left untreated, this can lead to inflammation of the gums and loss of the bone surrounding the teeth. This is the leading cause of tooth loss in adults.
Healthy teeth need healthy gums and if you are concerned you are suffering with gum disease we highly recommend seeking expert advice. Dr Hiten Halai and Dr Tay Shiehfung provide private specialist treatment and care for all types of gum treatment.
What is Gum Disease?
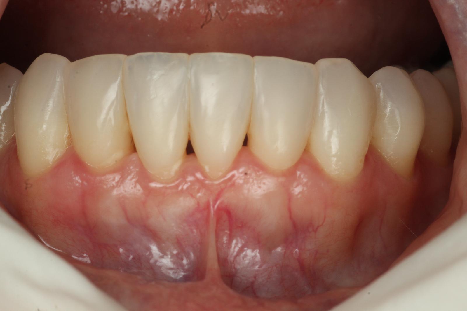
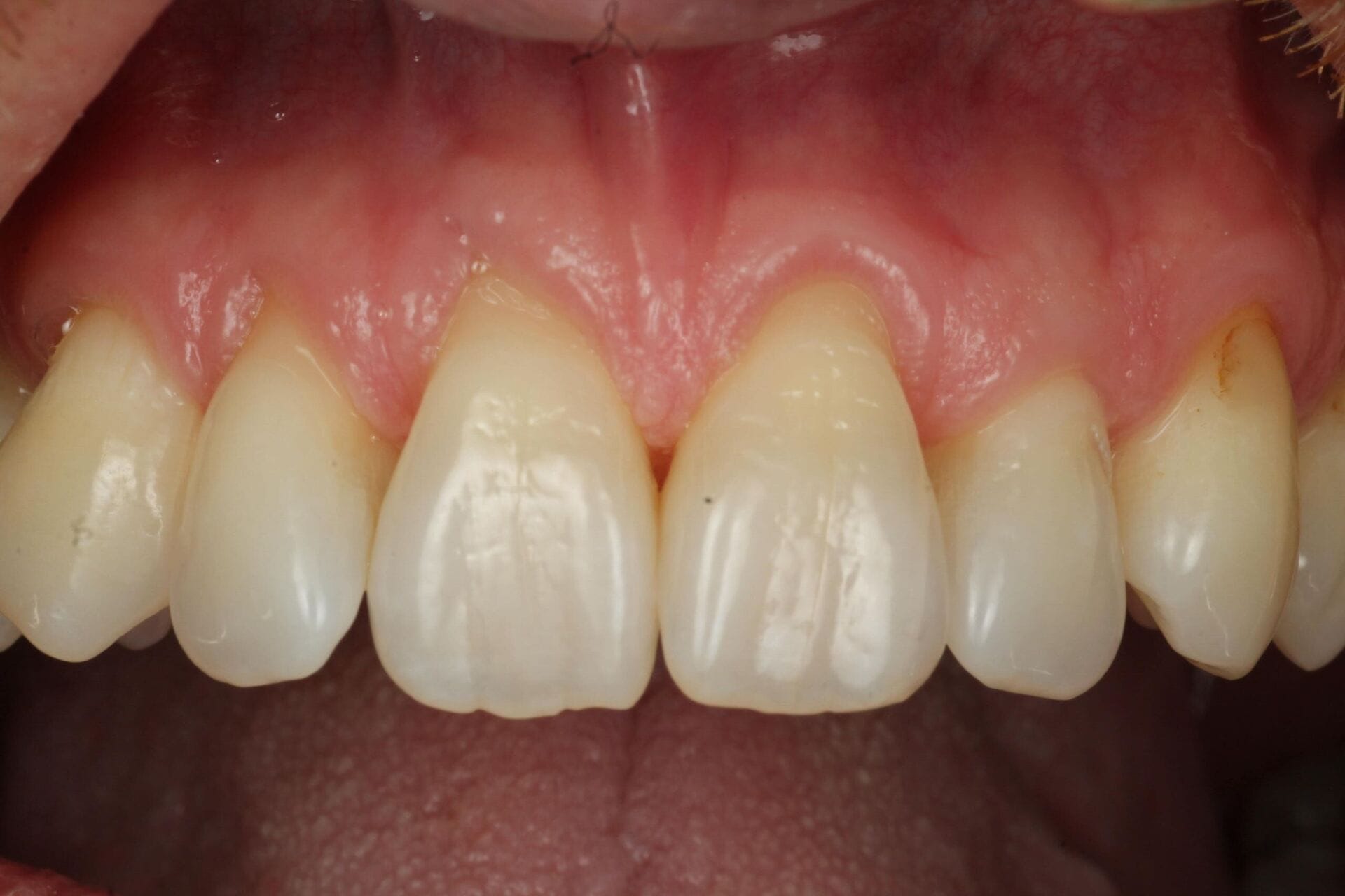
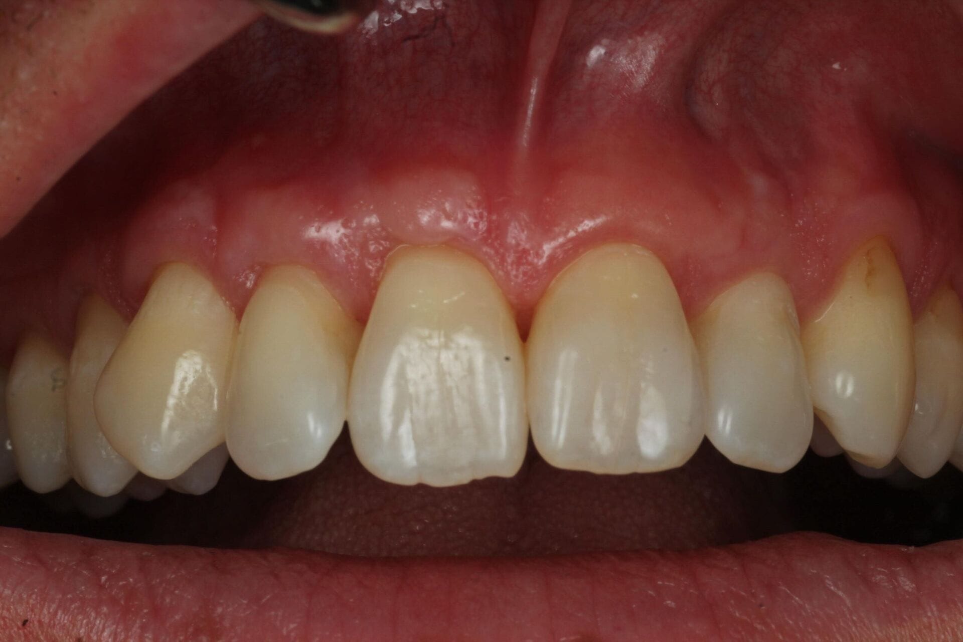
Gum disease, or periodontal disease, is a common but serious condition that affects the soft tissues and bone supporting your teeth. It typically starts with gingivitis; swollen, red, or bleeding gums caused by the buildup of plaque and tartar. If untreated, it can progress into periodontitis, leading to gum recession, bone loss, and even tooth loss.
What Is Periodontitis?
Periodontitis is the advanced form of gum disease. It develops when inflammation from untreated gingivitis spreads below the gumline, destroying the connective tissue and bone that anchor your teeth. Symptoms can include:
Persistent bad breath
Loose teeth
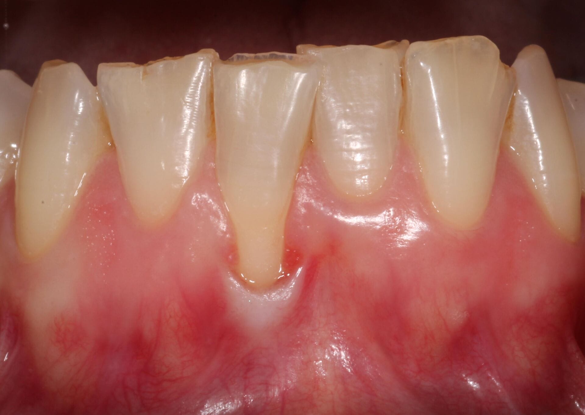
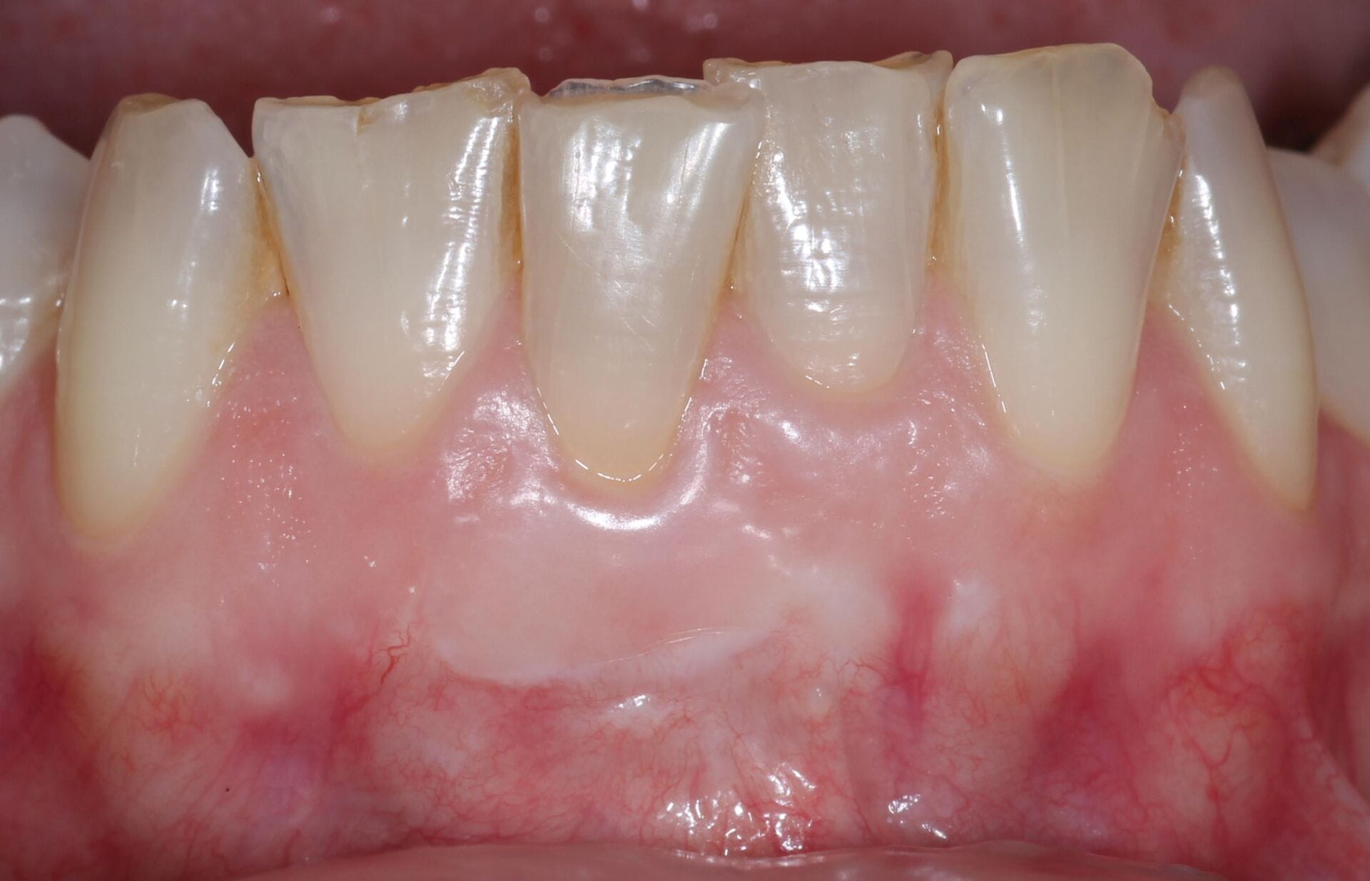
Gum recession
Pain or bleeding while brushing
Without professional intervention, periodontitis can result in tooth loss and has been linked to other systemic health conditions such as heart disease and diabetes.
How We Treat Advanced Gum Disease
Dr Halai and Dr Sheihfung are both highly experienced in managing complex periodontal cases using the latest techniques and technology. Treatment always begins with a detailed assessment and may include a combination of therapies tailored to your needs.
Our Treatment Options
1. Debridement (Deep Cleaning)
A comprehensive cleaning procedure that removes plaque, tartar, and bacteria from above and below the gumline. This non-surgical approach is often the first step in controlling gum disease and preventing further damage.
2.Gum Graft Surgery
In cases of gum recession, a gum graft can help restore protective tissue around the teeth. Tissue—often from the roof of your mouth—is grafted onto the affected areas, helping to reduce sensitivity, improve appearance, and prevent further recession.
3. Advanced Periodontal Surgery
For severe cases, surgical treatments such as flap surgery, bone grafts, or regenerative procedures may be recommended to restore gum and bone health.
Specialist Care: Both Dr Halai and Dr Sheihfung are GDC-registered periodontists with extensive training and experience in treating advanced gum disease.
Personalised Approach: We tailor every treatment plan to your specific needs, ensuring the best outcomes in a calm, caring environment.
State-of-the-Art Facilities: Our clinic is equipped with advanced diagnostic and surgical technologies to support precise, effective care.

Dr Hiten Halai
Specialist Periodontist
BDS MFDS RCS(Ed) PG.Dip MPerio RCS(Ed) DClinDent Perio(Lond)
GDC 229956

Periodontics FAQs
When should I see a Periodontist?
If you are suffering with the following, we recommend seeking advice from a periodontist:
- Bleeding gums
- Bad taste of the mouth
- Swollen gums
- Bad breath
- Loose teeth
- Gum shrinkage
Your dentist or hygienist can refer you if they believe you require an assessment but you can also refer yourself directly to the practice to see Dr Hiten Halai.
How can I prevent gum disease?
To minimise the risks of gum disease, we advise regularly brushing, flossing and seeking professional oral hygiene cleaning sessions with your hygienist to deter plaque build up. You should also see your dentist for regular dental check-ups.
What can I expect at my first consultation with Dr Hiten Halai?
The first consultation will be a comprehensive one, with a detailed assessment of your oral health including teeth and gums.
He will measure the ‘pocketing’ around each tooth, record the areas of inflammation and bleeding as well as any recession, and where appropriate will take low dose digital x-rays as necessary. If you have been referred by your dentist then Hiten will send all the relevant gum charting and x-rays to your referring dentist.
You will also receive a separate report summarising your visit including a proposed treatment plan and where relevant future appointments and costings.





