Children’s Dental Treatment Under General Anaesthetic
Safe, specialist-led care at Cromwell Hospital,
in partnership with 76 Harley Street
At 76 Harley Street, we understand that some children require a little extra help to receive essential dental care safely and comfortably. For certain cases, especially when treatment is complex, extensive, or the child is unable to tolerate dental work while awake, general anaesthetic (GA) may be the most appropriate solution.
Our dedicated paediatric dental team offers hospital-based general anaesthetic treatment in partnership with Cromwell Hospital, a world-class private medical centre in London. Working alongside experienced consultant anaesthetists and theatre staff, we ensure your child receives expert, compassionate care every step of the way.
Whether your child is having multiple extractions, extensive restorative work, or simply finds dental treatment too distressing, you can feel confident that they are in highly capable and caring hands. Learn more about our specialist children’s dental services here.
âś“ Specialist-led paediatric dentistry with experience in complex cases

When Is General Anaesthetic Recommended?

We only recommend general anaesthetic when absolutely necessary. It may be the best option for children who:
- Are too young or anxious to tolerate treatment while awake
- Have complex or multiple dental issues requiring longer procedures
- Have previously had unsuccessful attempts at dental care under sedation or local anaesthetic
- Have additional health or developmental needs that affect cooperation
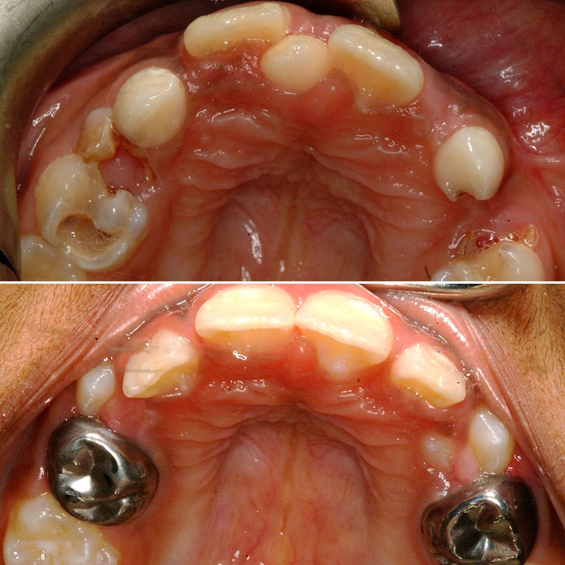
- Require full-mouth rehabilitation or extensive extractions
Our team will always explore alternatives before recommending GA. When it is indicated, it can offer a safe and effective way to complete treatment in a single, controlled appointment, avoiding repeated trauma and helping to preserve a child’s overall confidence in dentistry.
GA FAQs
Emotional Support For Families
We understand that the thought of your child undergoing general anaesthetic can feel overwhelming. Many parents worry about their child being “put to sleep,” how they’ll cope in hospital, or whether the procedure is truly necessary.
At 76 Harley Street, we provide more than just clinical care. We offer reassurance, clear communication, and emotional support at every stage. You’ll have the chance to ask questions, express concerns, and feel confident in your child’s care plan. Most importantly, your child will be treated with kindness, respect, and warmth throughout their journey.
Alternatives to General Anaesthetic
In some cases, we may be able to carry out treatment using inhalation sedation (happy air) or local anaesthetic alone. These options are available in-house at 76 Harley Street and are often suitable for older or less anxious children, or those undergoing simpler treatments.
Our team is highly experienced in behaviour management and gentle techniques to help children cope with dental visits. However, when the nature of treatment or the child’s needs require general anaesthetic, we ensure it is delivered safely, professionally, and with compassion.
Is General Anaesthetic Safe for Children?
Yes, when provided in a controlled hospital setting by experienced professionals, general anaesthetic is very safe for children. At Cromwell Hospital, your child is cared for by a team of consultant anaesthetists and recovery nurses trained specifically in paediatric care.
As with any medical procedure, there are small risks associated with general anaesthesia, such as nausea, sore throat, or temporary grogginess. Serious complications are rare but will be discussed with you in full before the procedure.
We always take every precaution to ensure your child’s safety and wellbeing, from detailed medical screening to continuous intra-operative monitoring and gentle recovery support.
What to Expect – The General Anaesthetic Journey
Initial Consultation
Initial Consultation at 76 Harley Street
Your child will first meet our paediatric dental specialist for a thorough examination and discussion. We’ll explain why general anaesthetic is being considered, outline the risks and benefits, and take time to answer your questions. If GA is the agreed path, we’ll also guide you through the medical pre-assessment process and paperwork.
Hospital Admission and Treatment Day
Hospital Admission and Treatment Day
On the day of the procedure, you and your child will arrive at Cromwell Hospital and be greeted by a friendly team of paediatric-trained staff. You’ll meet both the anaesthetist and your dental specialist again before the procedure begins. You’ll be able to stay with your child as they fall asleep.
The dental treatment will be carried out in full under GA, with careful monitoring throughout. Most procedures last between 30 minutes to 2 hours, depending on complexity.
Recovery and Discharge
After the procedure, your child will be cared for in the recovery suite until they are fully awake and comfortable. Most children are discharged the same day, although a short overnight stay may be recommended in certain cases.
If your child has been referred for dental treatment under general anaesthetic, or if you’re unsure whether GA may be the right option, we invite you to book a consultation with our friendly, experienced paediatric team at 76 Harley Street.
We’re here to listen, explain, and support you every step of the way – making sure your child’s dental care is delivered with the safety, sensitivity, and specialist attention they deserve.